تجميل الاسنان-ڤينيرز

تجميل الأسنان (الفينيرز)

 

تعد الابتسامة هي أكثر ما يميز الإنسان وتمنحه الثقة في نفسه، خاصة عندما تكون تلك الابتسامة جميلة بأسنان مستوية وناصعة البياض، ولكن عندما يعاني الفرد من إصفرار أسنانه أو عدم استوائها فإنه يشعر بالخجل ويُخفي تلك الابتسامة قدر ما يستطيع.

ومن هنا كانت أهمية تقنية تجميل الأسنان (الفينيرز) والتي تعد من أهم خدماتنا في مركز دكتور محمد عبد الحميد.

 ما هو تجميل الأسنان بالفينيرز؟ وما هي مميزاته؟ ولماذا تعد عيادة دكتور محمد عبد الحميد من أفضل مركز لتجميل الأسنان في مصر؟ هذا ما سنعرفه في هذا المقال.

 

ما هو الفينيرز؟  

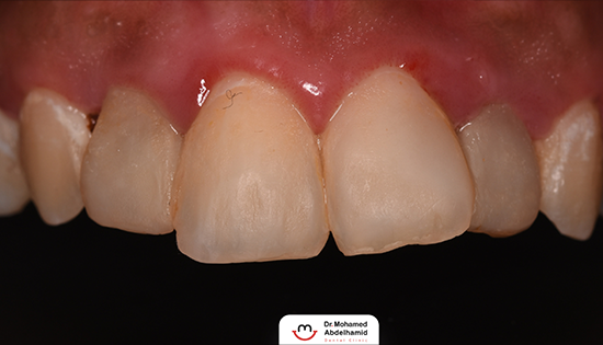
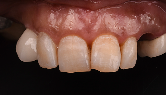
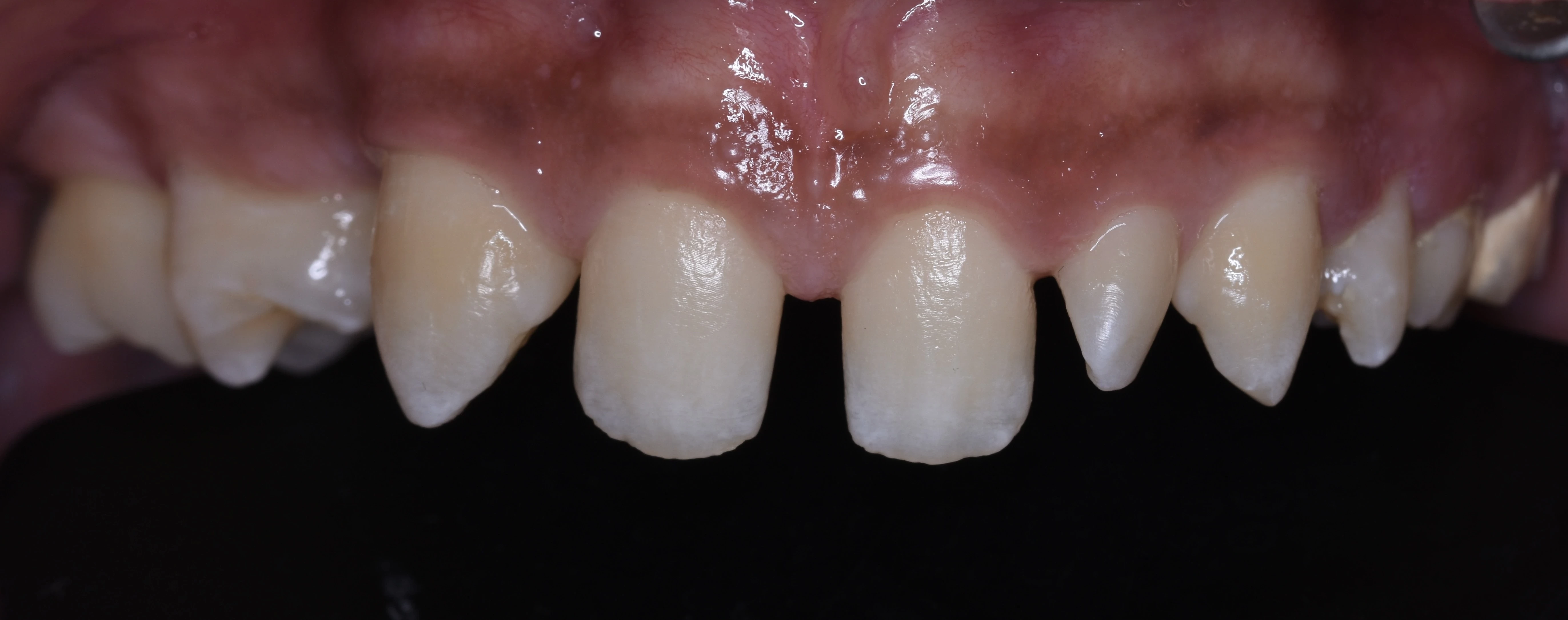
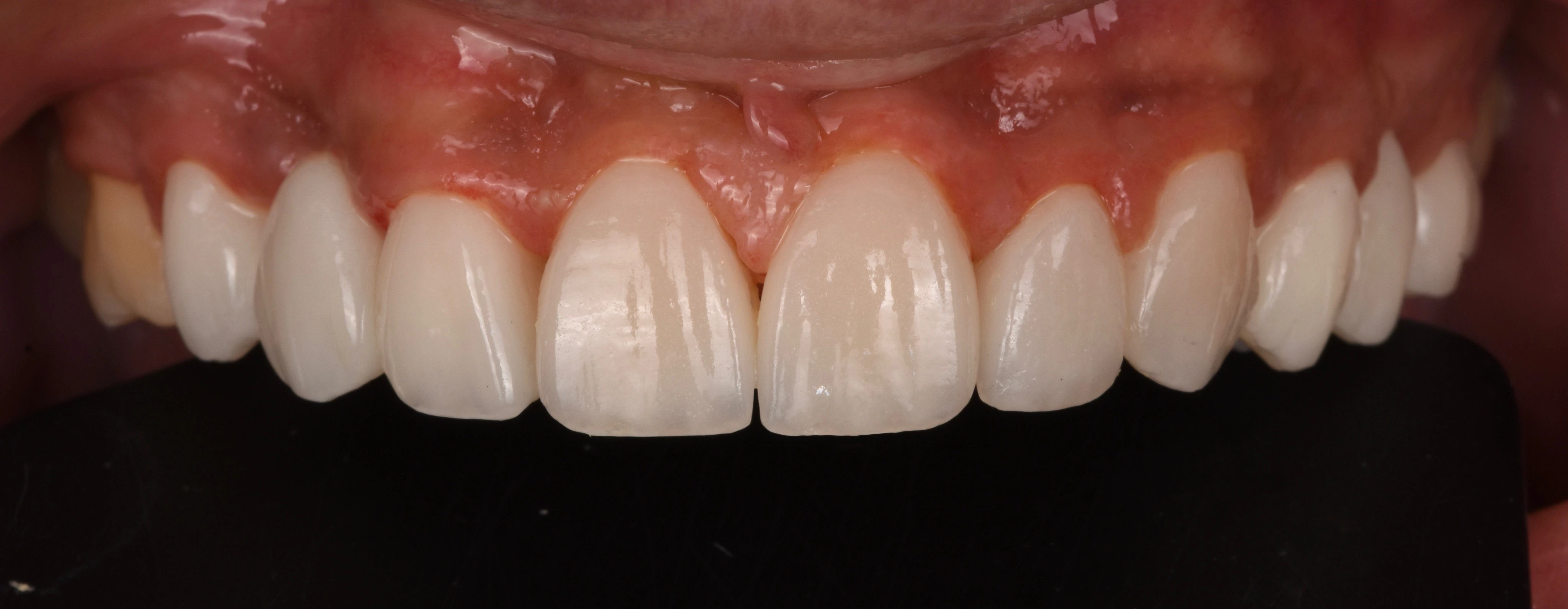
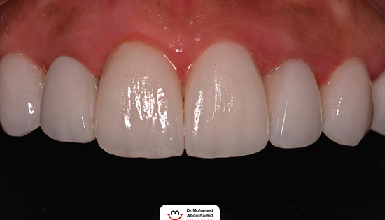
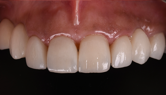
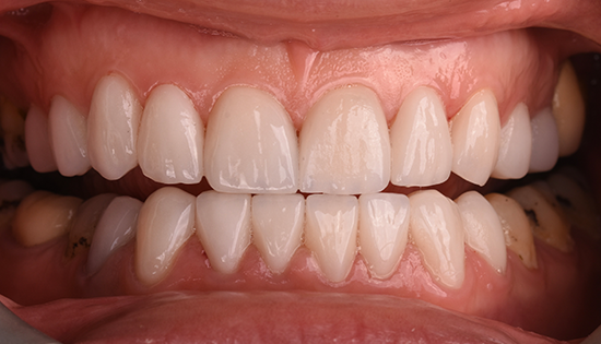
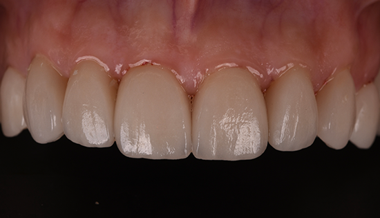
يلجأ الشخص إلى تحسين شكل أسنانه عن طريق فينير الأسنان أو ما يطلق عليه (عدسات الأسنان اللاصقة) وهي عبارة قشرة رقيقه يتم لصقها على السطح الخارجي للأسنان مصنوعة من مواد صلبة ذات معامل شفافيه مطابق للأسنان الطبيعيه   لعلاج مشكلة الاصفرار أو عدم التساوي والعديد من المشاكل الأخرى، حتى يحصل الشخص على ابتسامة رائعة تشبه ابتسامة نجوم هوليود.

 

المرشحون لفينيرز الأسنان

يلجأ الأشخاص عادة إلى فينيرز الأسنان عند:

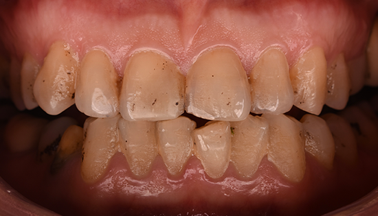
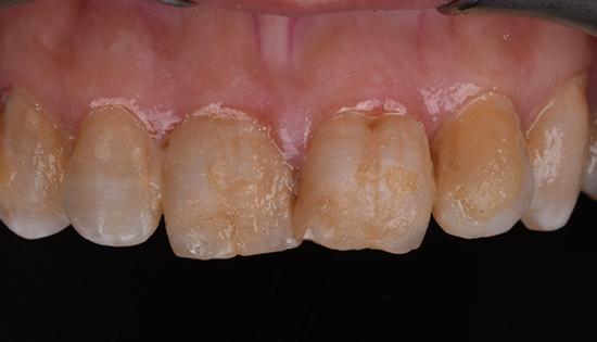
  •  تغير لون الأسنان الطبيعية من اللون الأبيض للون الأصفر.

  • وجود مسافات بين الأسنان.

  • تكسر وتشقق الأسنان.

  • عدم تناسق الأسنان او اعوجاجها.

  • وجود حشوات عديده بالأسنان الأماميه ذات مظهر سيء.
  •  

مميزات تجميل الأسنان بالفينيرز

يُحقق تجميل الأسنان (فينيرز) العديد من المزايا التي تجعله هو الأفضل بين طرق تجميل الأسنان المختلفة، ومنها:

  • إظهار الأسنان بشكل أكثر جمالًا بعد تغطية كل عيوب الاسنان.

  • المواد التي تصنع منها الفينير لا تسبب التهابات وتتقبلها اللثة.

  • يحتفظ الفينيرز بلونه وخصائصه لأعوام عديده.

 

لماذا نحن ؟؟ 

تعد مراكز دكتور محمد عبد الحميد من أفضل المراكز في مجال تجميل الأسنان وذلك لتمتعها بالعديد من المميزات والتي من أهمها:

  • نقوم بتحضير الأسنان باستخدام الميكروسكوب لضمان اعلى قدر من الدقه في كل مراحل تنفيذ الڤينيرز.

  • نقوم بأخذ مقاسات الأسنان digitally باستخدام ال intra oral scanner والذي يعد ثوره في طب الاسنان الرقمي بدون الحاجات إليى استخدام المقاسات التقليديه لضمان نسبة خطأ تكاد تكون منعدمه تقريباً.

  • نعتمد في تصنيع الڤينيرز علي طاقم فني من امهر الفنيين في الوطن العربي ولهم خبره طويله جداً في تجميل اسنان العديد من المشاهير.

  • نستخدم في تصنيع الڤينيرز الخامات السويسريه التي تعد الأفضل والأشهر عالمياً .