التقويم

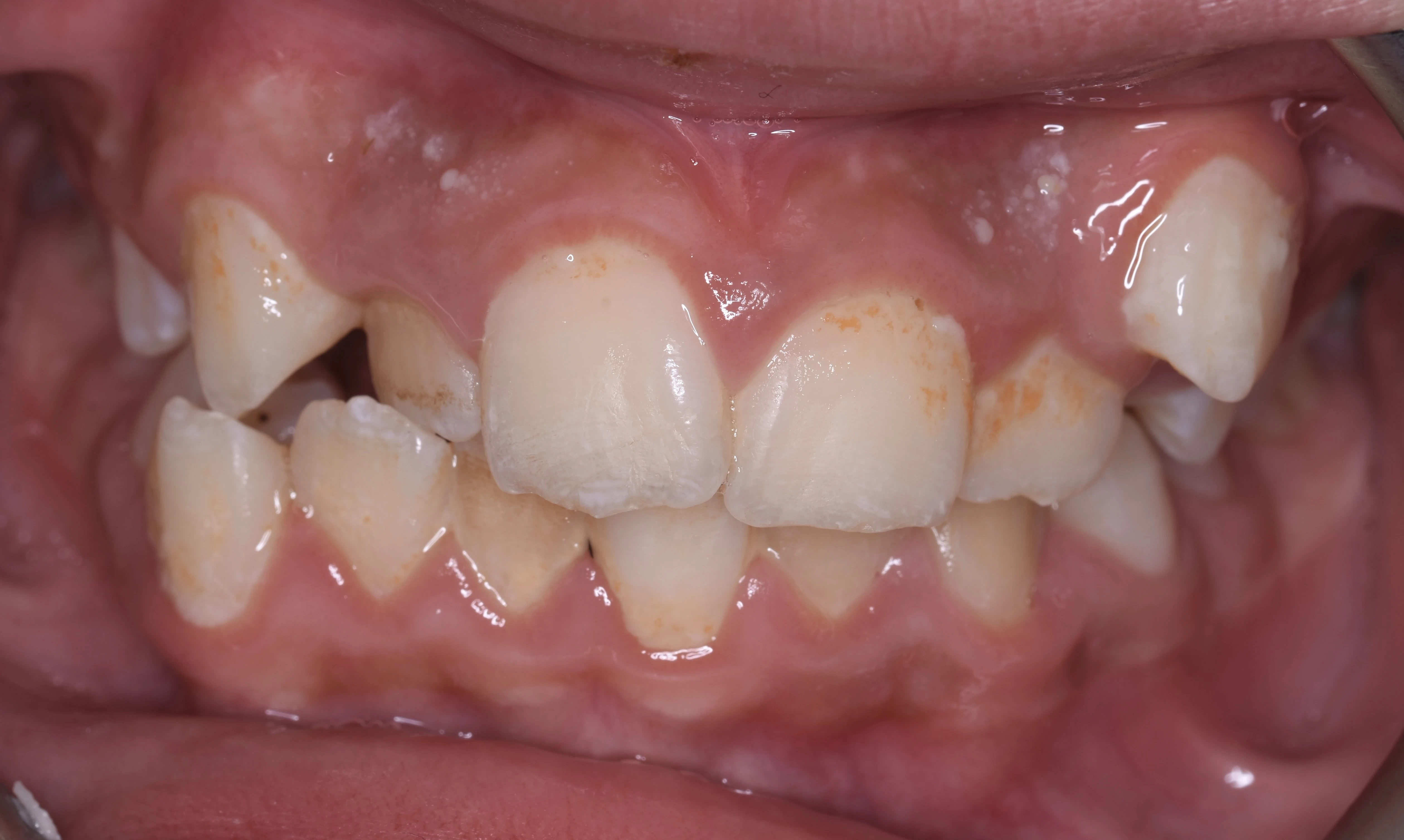
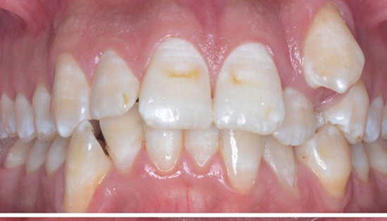
إذا كان لديك مشكلة في الإطباق أو بروز لأحد الفكين عن الآخر فإن تقويم الأسنان قد يكون أنسب الخيارات العلاجية لمشكلتك.

ما هو تقويم الأسنان؟ وما هي مميزاته؟ وماذا عن أفضل عيادات الأسنان التي يُمكنك إجراء تقويم لأسنانك بها؟ هذا ما سنتعرف عليه سويًا بين تلك السطور - فقط تابع معنا.

 

ما هو تقويم الأسنان؟

هو أحد الوسائل العلاجية لمشكلات انحراف الأسنان سواء كانت تلك المشكلة متعلقة بتراكب الأسنان فوق بعضها البعض أو الأسنان الملتوية أو مشكلة العضة المنحرفة أو غيرها من عيوب الإطباق.

وتقويم الأسنان هو عبارة عن جهاز يتم تركيبه لتصحيح هذا الانحراف من خلال الضغط على الأسنان لتقويمها، وهو يتكون من:

  • أجزاء ثابتة وهي عبارة عن قطع معدنية صغيرة تلتصق بالأسنان ولها خطاف يمكن فتحه وتكون مجوفة من الداخل.

  • يدخل في هذه القطع المعدنية سلك معدني ليربط الحمالات، ويتم شده كل فترة، ويمكن أن يستخدم الطبيب أدوات أخرى مثل موسع الفكين.

أنواع التقويم 

يعتمد تحديد نوع التقويم على حسب الحالة وما يراه الطبيب مناسبًا، حيث يتوفر 4 أنواع أساسية لتقويم الأسنان وهي:

1.تقويم الأسنان المعدني

وهو الأكثر استخدما وذلك لأنه أقل سعرًا وأكثر فاعلية وهو مصنوع من المعدن المقاوم للصدأ.

2.تقويم الأسنان الخزفي

في هذا النوع تكون الأجزاء الثابتة مصنوعة من الخزف فاتح اللون الذي يشبه لون الأسنان والأسلاك، وأبرز ما يميز هذا النوع هو أنه لا يمكن ملاحظة وجوده على الأسنان ولكن تكلفته أعلى سعرًا من التقويم المعدني ويحتاج طرق عناية خاصة.

3.تقويم الأسنان الداخلي 

يعد أفضل أنواع التقويم لأنه يكون خلف الأسنان غير ظاهر بالمرة، ويطلق عليه اسم التقويم اللساني، ويلتصق بالأسنان في الجانب الداخلي من السن، ولكنه صعب التنظيف ويحتاج عناية خاصة كما أن تكلفته عالية.

4.تقويم الأسنان الشفاف

يكون شفاف تماما ويصنع من البلاستيك والأكريليك خصيصا من أجل المريض، ويحتاج إلى التغيير كل 15 يومًا تقريبًا؛ وبالرغم من مميزاته إلا أنه يحتاج إلى تغييره باستمرار ويتم تصميم ما بين 18 - 30 قالبًا مختلفًا خلال رحلة العلاج.

 

لماذا نحن ؟

تعد عيادة دكتور محمد عبد الحميد أفضل العيادات في مجال طب الأسنان والتي يُمكنك تركيب نوع تقويم الأسنان المناسب لحالتك بها وذلك لأنها:

  • قائمة على خبرات دكتور محمد عبد الحميد وفريق طبي معاون له على خبرة عالية في مجال تقويم وتجميل الأسنان.

  • ساعد دكتور محمد عبد الحميد في علاج العديد من المرضى الذين شهدوا له بكفاءة والمهارة.

  • توفر العيادة مختلف أنواع تقويم الأسنان حسب حالة المريض وميزانيته.

  • يوجد بالعيادة طاقم فني مدرب على أعلى مستوى لتقديم أفضل مستوى خدمة للمريض.

إذا أردت الحصول على كل هذه المميزات بمستوى خدمة متميز؛ يُمكنك التواصل معنا بكل تأكيد لتستمتع بابتسامة مشرقة بأسنان معتدلة ناصعة البياض فقط تواصل معنا عبر الرسائل النصية أو عبر الهاتف في أي وقت.