حشو العصب

حشو العصب

لا شك أن آلام الأسنان أشد الآلام وأصعبها على الإنسان خاصة إذا كان الألم بسبب تسوس قد وصل إلى عصب السن، حينها يشعر الشخص بألم يسلبه النوم ليلًا ويؤرق يومه ولا ينتهي إلا بالخضوع إلى جلسة إزلة العصب وتنظيف وحشو القنوات العصبيه.

ما هو حشو العصب؟ ما هي اجراءات حشو العصب؟ لماذا يمكنك الإعتماد على مراكز دكتور محمد عبد الحميد في إجراء دقيق كهذا؟ هذا ما نتناوله في هذا المقال فتابعونا.

 

لماذا حشو العصب؟؟

عندما يشعر المريض بألم حاد في ضرسه يقرر الطبيب له حشو العصب ويمكننا القول إن حشو العصب هو عملية إصلاح الضرس الذي تعرض للتسوس العميق الممتد إلى الغرفة العصبية أو تآكل جزء كبير منه مما أدى إلى التهاب، وهو البديل الوحيد للقضاء على الألم بدون خلع للضرس ، ولكن ما هي الأعراض التي تؤدي إلى حشو العصب؟ هذا ما ستعرفه في الفقرة التالية

 

الأعراض التي تؤدي إلى جلسات حشو عصب الضرس

هناك مجموعة من الأعراض التي تُشير إلى أنك بحاجة إلى حشو للعصب ومنها:

  • ألم شديد ومستمر عند الأكل أو الشرب.

  •  الشعور بالحساسية عند أكل او شرب الأشياء الساخنة أو الباردة. 

  •  عندما يصل التجويف في الضرس إلى اللب.

  • التهابات شديدة بسبب اختراق البكتيريا فتحات الجذر مما يسبب ما يسمى (خراج).

  • الشعور بالألم الشديد الذي يزيد في الليل.

إذن ما هي إجراءات حشو العصب؟ هذا ما سنعرفه في السطور القادمة.

 

إجراءات حشو العصب 

يمر حشو العصب بعدة مراحل هي:

  • حتى لا تكون عملية الحشو مؤلمة يقوم الطبيب بتخدير الأسنان واللثة.

  • ينظف الضرس جيدا ويقوم بإزالة التسوس.

  • فتح قناة من فوق الضرس للوصول إلى القنوات العصبية.

  • توضع ملفات دواره صغيرة تقوم بإزالة النسيج الميت والمصاب.

  • استخدام مواد التنظيف المطهرة لتنظيف وتطهير تلك القنوات.

  •  وأخيرا يتم إضافة الحشو لسد التجاويف في الضرس، ولكن يجب أن يسد الطبيب التجاويف بالكامل حتى لا يدع مجال للبكتيريا أن تنمو.

  • إغلاق الضرس تماما عن طريق المادة المخصصة له.

 

لماذا نحن ؟؟

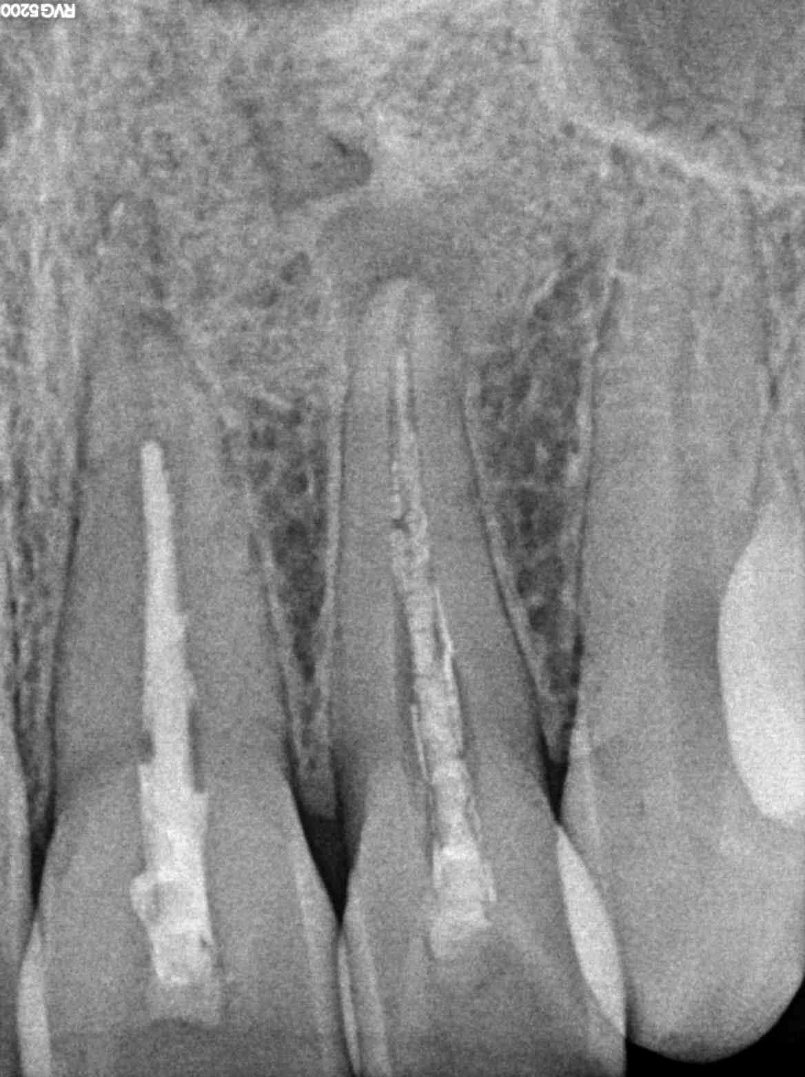
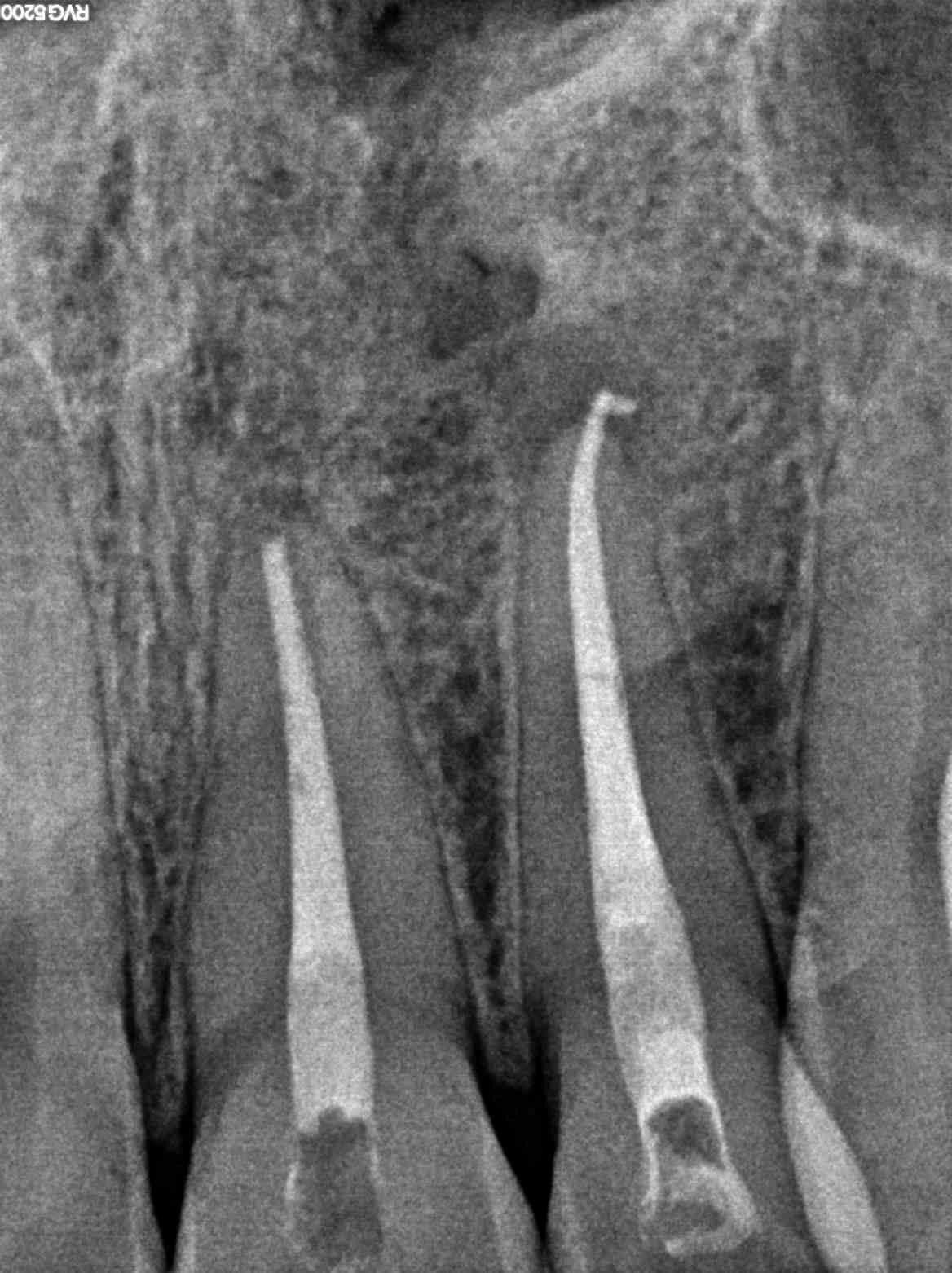
يعتبر حشو العصب من ادق الاجراءات التي يقوم طبيب الأسنان بعملها ان لم يكن ادقها على الإطلاق ... فهو يحتاج إلى اجهزه متطوره جداً وخبره ودقه كبيره من الطبيب لاجراء حشو عصب ناجح ... ونجاح حشو العصب ليس بإزالة الألم فقط، بل يقاس نجاح حشو العصب بعد مرور سنوات عليه دون ظهور أي علامات لخراج الأسنان في الأشعات الروتينية.

وعلى مدى خمسة عشر عاماً شاهدنا حالات عصب كثيره جداً فاشله سببت مشاكل وخسائر كبيره لمراجعينا، فكان احد أولوياتنا هو تطوير هذا المجال حتى نجنب مرضانا  عناء اعادة عمل حشو العصب أو خسارة اسنانهم إلى الأبد.

نقوم باستخدام اجهزة قياس طول القنوات العصبيه الأدق على الإطلاق في العالم حتى لا يخرج حشو العصب أقصر أو أطول من المطلوب.

نستخدم اجهزة حقن حشو العصب السائل الذي يقوم بملأ كل قنوات العصب الرئيسيه والجانبيه بشكل محكم للغايه حتى لا نترك أي فراغات لنمو البكتيريا.

كل الخطوات تتم بإستخدام الميكروسكوب ذو القدره التكبيريه العاليه لضمان اقصى درجات الدقه وايضاً للفحص الدقيق عن أي قنوات فرعيه زائده قد تسبب فشل الحشو بعد ذلك.