علاج اللثة

لا شك أن أمراض الأسنان واللثة من أكثر الأمراض المزعجة والتي تُسبب ألم مستمر لا ينتهي إلا بعلاج السبب في الالتهاب، ويحتاج التهاب اللثة بشكل خاص إلى تدخل سريع لعلاجه حتى لا تتطور المشكلة إلى التهابات أكثر تعقيدًا وصعوبة في العلاج.

ما هي التهابات اللثة؟ ما هي أعراض التهابات اللثة؟ وكيف يعالجها الطبيب، وما هي أفضل المراكز في علاج اللثة؟ هذا ما تعرفه في هذا المقال

التهابات اللثة

هي نوع من أنواع أمراض اللثة الناتجة عن عدم الاهتمام بنظافة الأسنان بصورة منتظمة، والتي يجب معالجتها فورا لأنها تؤثر بصورة مباشرة على صحة الفم وقوة الأسنان.

 

أعراض التهابات اللثة 

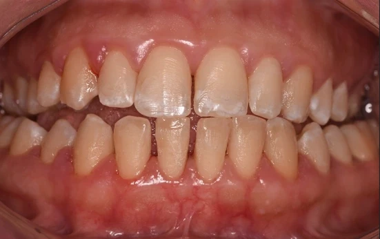
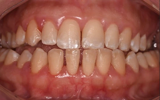
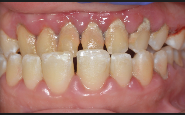
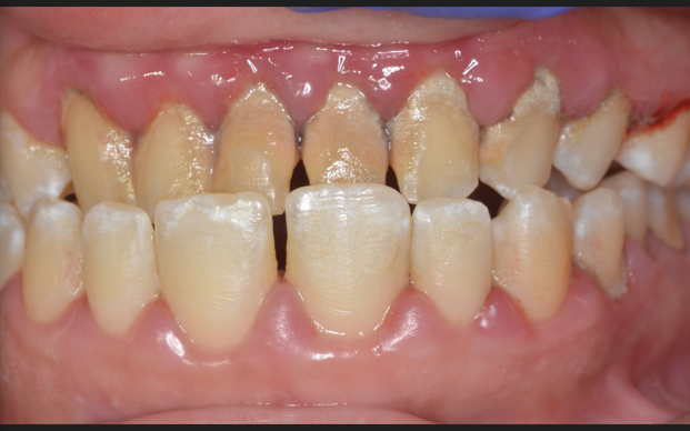
اللون الوردي للثة يدل على صحتها، أما إذا ظهرت العلامات التالية فتدل على وجود التهابات يجب معالجتها وهي:

  • انتفاخ اللثة وتورمها.

  • إذا نزفت اللثة أثناء التنظيف بالفرشاة.

  • إذا كان لون اللثة أحمر داكن.

  • عندما تكون رائحة الفم كريهة.

  • إذا كانت اللثة لينة. 

  • انحسار اللثة.

علاج اللثة عند الطبيب  

يقوم الطبيب بتنظيف اللثة وهو ما يسمى (التنظيف العميق) يقوم الأخصائي باستخدام أداة تسمى (مسبار) لقياس المنطقة المحيطة بالأسنان واكتشاف الجيوب بها، وعادة ما تشمل توصيات الطبيب بعد الإجراء:

  • الاهتمام بنظافة اللثة والأسنان.

  • علاج التسوس وترميم الأسنان بصورة دورية.

  • الاهتمام بإزالة الجير كل فترة

أفضل مراكز الأسنان لعلاج اللثة

يعد مركز دكتور محمد عبد الحميد من أفضل مراكز الأسنان التي يمكنك الاعتماد عليها لعلاج اللثة؛ وذلك لأنه:

  •  يقدم مستوى خدمات متميزة بأحدث الاجهزة الطبية.

  • الاهتمام بأعلى معايير التعقيم والنظافة حتى لا تتعرض لأي إصابة بالبكتريا أو الالتهابات.

  • طاقم التمريض المعاون للطاقم الطبي مدرب على أعلى مستوى.

  • أسعار مناسبة لكافة الخدمات.

لذلك إذا كنت تعاني من التهابات اللثة وتحتاج إلى الفحص والعلاج فإن مركز دكتور محمد عبد الحميد هو المكان الأمثل لذلك.