الحشوات التجميلية

هل عانيت من تجاويف في أسنانك؟ هل سببت لك مظهرا غير جيد وأيضًا تسبب لك الالم؟ هل تنزعج من الحشوات التقليدية التي تختلف عن لون الأسنان الطبيعية؟ لا تقلق الحل موجود في الحشوات التجميلية والتي تعد واحدة من خدماتنا المميزة في مراكز دكتور محمد عبد الحميد.

ما هي الحشوات التجميلية؟ ما مميزاتها؟ هذا ما ستعرفه في هذا المقال.

 

ما هي الحشوات التجميلية؟

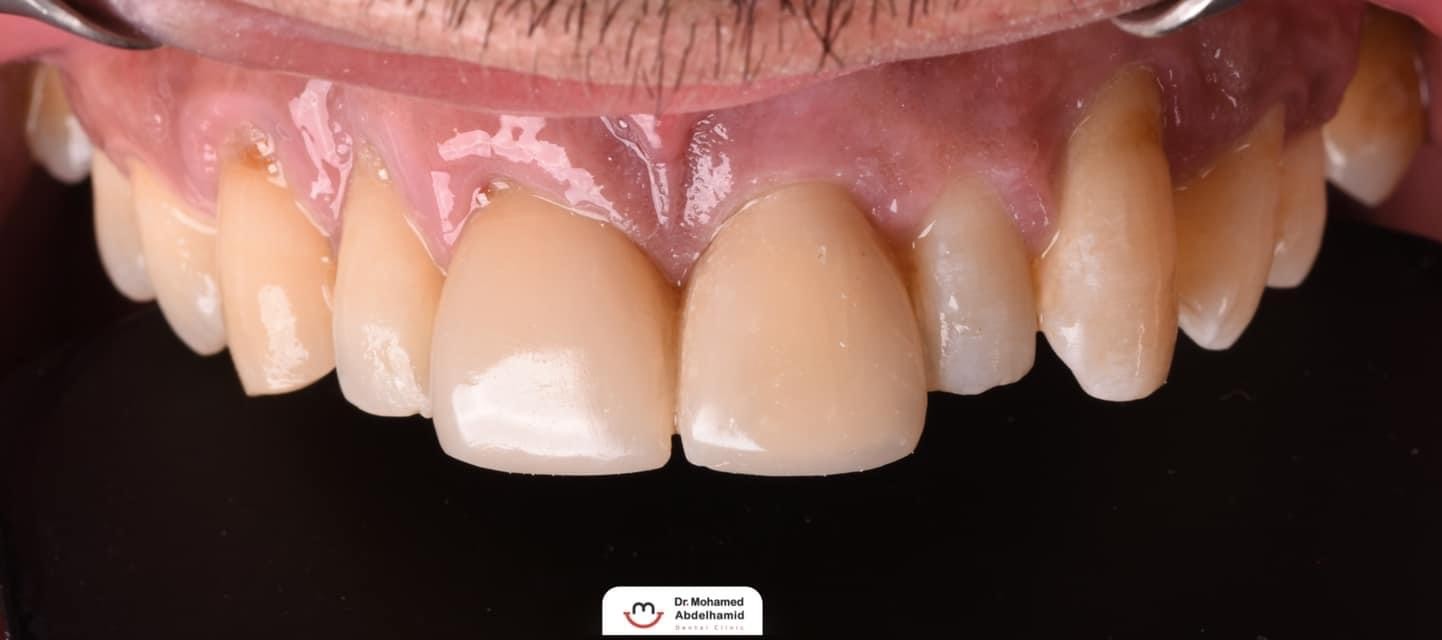
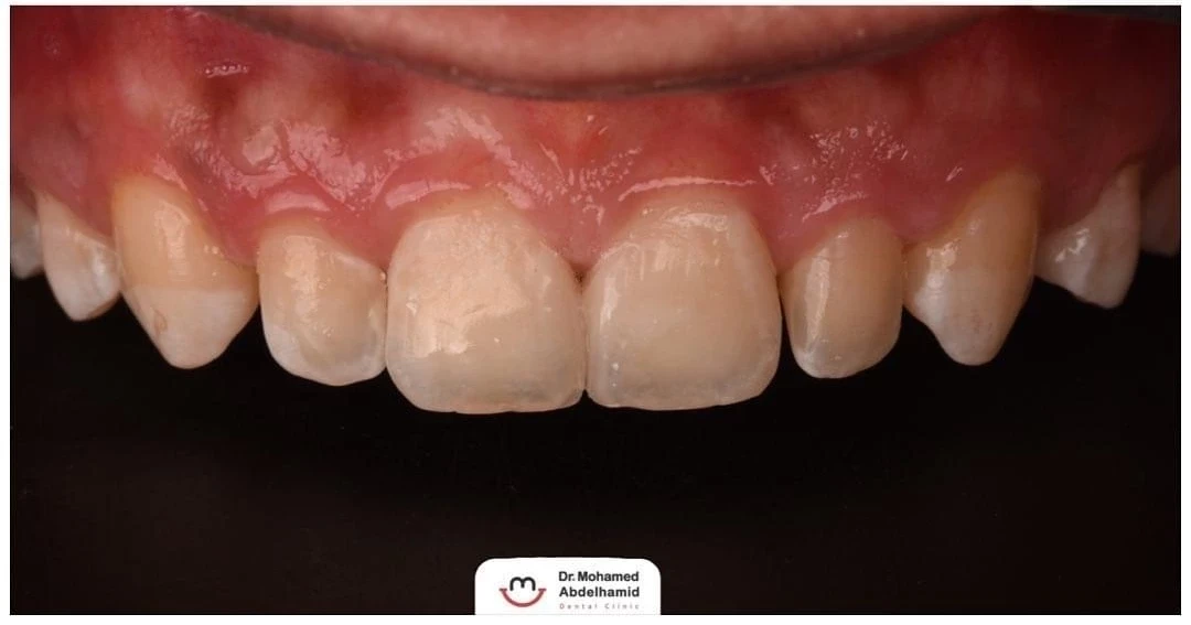
هي حشوات توضع كتعويض لسد الفراغات في الأسنان الأماميه أو الضروس الخلفيه التي حدثت نتيجة التسوس أو كسور في الأسنان ولكنها تختلف عن الحشوات التقليدية في أن لونها يشبه لون الأسنان الطبيعيه تماما ولا تختلف عنها مما يعطيها مظهرا جماليا.

ما هي مميزاتها ؟؟

قبل سنوات كنا نعتمد في تجميل الأسنان بشكل اساسي على الڤينيرز أو تغطية الأسنان بالكامل بالطرابيش، ثم ظهرت الحشوات التجميليه لها مواصفات خاصه جداً مشابهه للأسنان بشكل يصعب تمييزه وذات اسعار مناسبه مقارنةً بأسعار الڤينير او الطرابيش ويتم عملها في جلسه واحده دون الحاجه لأخذ مقاسات للأسنان

   

لماذا نحن ؟؟

هناك انواع كثيره جداً من الحشوات التجميليه متوفره في السوق المصري نستخدم منها الأنواع ذات الجوده العاليه التي تضمن لنا عدم تغير لون الحشو او سقوطه ولو بعد سنوات، كما أن الحشوات تعتمد بشكل كبير جداً على خبرة الطبيب المُعالج، وهنا تأتي نقطة تميزنا حيث اننا على مدار خمسة عشر عاماً عالجنا حالات كثيره جداً مما جعلنا على درايه كافيه بما يرضي مرضانا وما يستحقونه.